Dynamic Content Image

IHC Meta Cells

Detect IHC/HC-stained metastructures (e.g. islets, tumor, stroma) and segment single cells into nucleus, perinuclear area, and/or cytoplasm, classify cells inside/outside metastructures, and measure up to 20 intensity, statistic, and morphometric parameters per area and compartment.

metastructures

single-cell analysis

insulin islets, pancreas, immunohistochemistry, beta-cells, brightfield

Dynamic Content Image

The IHC Meta Cells App combines the detection of IHC/HC stained metastructures (e.g. Langerhans islets, Tumor - Stroma) with single cell detection (segmentation of cells into nucleus, and/or perinuclear area and/or cytoplasm). Detected cells can be classified and visualized as being either within or outside of detected metastructures. Each detected area and cell compartment is measured for up to 20 intensity, statistic and morphometric parameters.

Dynamic Content Image

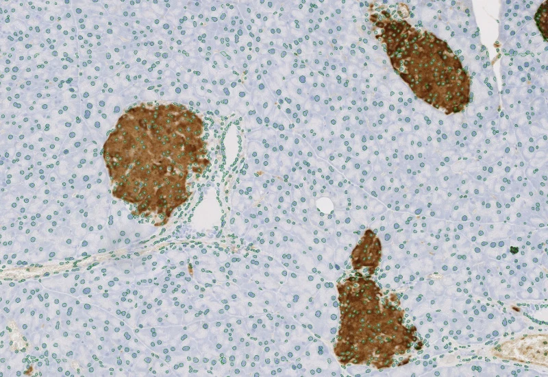
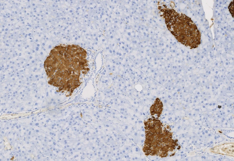
Original image

Dynamic Content Image

Nuclei detection

Dynamic Content Image

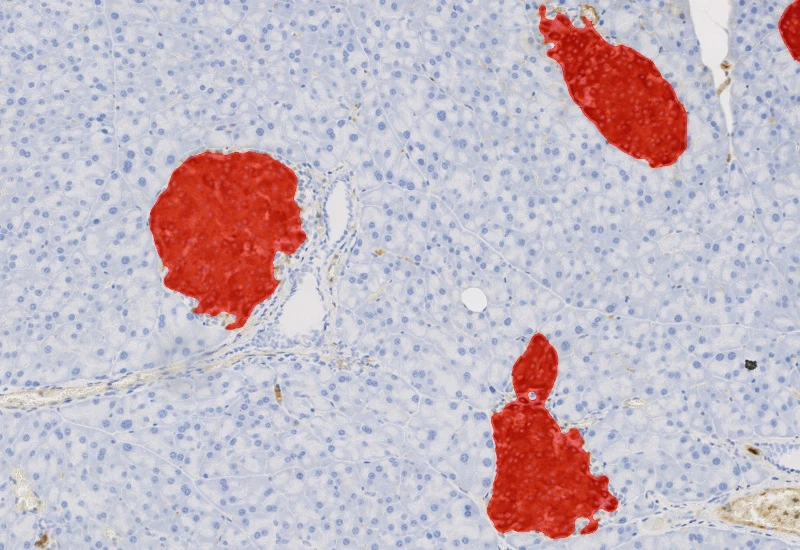
Metastructure detection

Dynamic Content Image

Nuclei/metastructure detection

single-cell analysis

Dynamic Content Image

White Paper

30 Mar, 2026

Understanding NeuroCOVID-19: SARS-CoV-2 Disrupts Astrocyte Homeostatic Functions

metastructures

Dynamic Content Image

Blog Post

17 May, 2023

An Intro to Deep Learning in Biomedical Imaging

We support the following file formats:

  • TissueFAXS (aqproj)
  • StrataFAXS II (vmic)
  • PreciPoint (vmic, gtif)
  • Generic BigTIFF Import
  • Support for multipage BigTIFF files
  • OME-TIFF
  • JPEG, PNG, BMP, TIFF
  • Zeiss (czi)

  • Hamamatsu NanoZoomer (ndpi)
  • Aperio (svs)
  • Leica (scn)
  • 3D HISTECH Pannoramic
  • Mirax (mrxs)
  • Olympus (vsi)
  • More slide scanners to be added!

Related Apps

Dynamic Content Image

IHC Insulin Islets

The IHC Insulin Islet App detects marker-stained insulin islets, tissue area, and cell phenotypes within and outside the islets. Outputs include tissue and islet area, cell counts, and phenotype distribution.

metastructures

single-cell analysis

insulin islets, pancreas, beta-cells

Dynamic Content Image

IF Immune status in situ

Characterize immune cell phenotypes relative to detected metastructures (e.g. tumors, glands), define distance ranges, measure cell-to-boundary distances inside/outside, and export up to 20 intensity, statistic, and morphometric parameters per cell compartment.

metastructures

single-cell analysis

tumor microenvironment

multiplex IF

immunophenotyping

colon cancer, cytotoxic t cells, tumor microenvironment, PD1, CD8, spatial analysis, fluorescence

Dynamic Content Image

IF Insulin Islet

Detect insulin islets and whole tissue in IF samples, segment nuclei using deep learning, and quantify islet number, area, total cells, and marker-specific phenotypes in tissue and within islets.

metastructures

single-cell analysis

immunophenotyping

insulin islets, pancreas, beta-cells

Image

Custom App development

Perfectly tailored image analysis solutions for your research.

You have a specific research question that needs to be answered? We offer custom development of image analysis pipelines for specific tasks, be it detection of cellular phenotypes or quantification of tissue structures. After discussing your goals with one of our experts, you will get a ready-to-use App and be a step closer to an impactful publication.

LogoOrangewhite2025

TissueGnostics GmbH
Taborstraße 10/2/8
1020 Vienna, Austria
+43 1 216 11 90 This email address is being protected from spambots. You need JavaScript enabled to view it.

Contact us

About Us

TissueGnostics provides advanced solutions for whole-slide imaging and image analysis in biological and clinical research. Our products help researchers to scan and analyze complex tissue samples, enabling more detailed insights into tissue structure, cellular interactions, and spatial cell landscape.

Keep in Touch

Be the first to hear about the latest scientific updates.

We use cookies

We use cookies on our website. Some of them are essential for the operation of the site, while others help us to improve this site and the user experience (tracking cookies).
You can decide for yourself whether you want to allow cookies or not. Please note that if you reject them, you may not be able to use all the functionalities of the site.