
IHC Insulin Islets
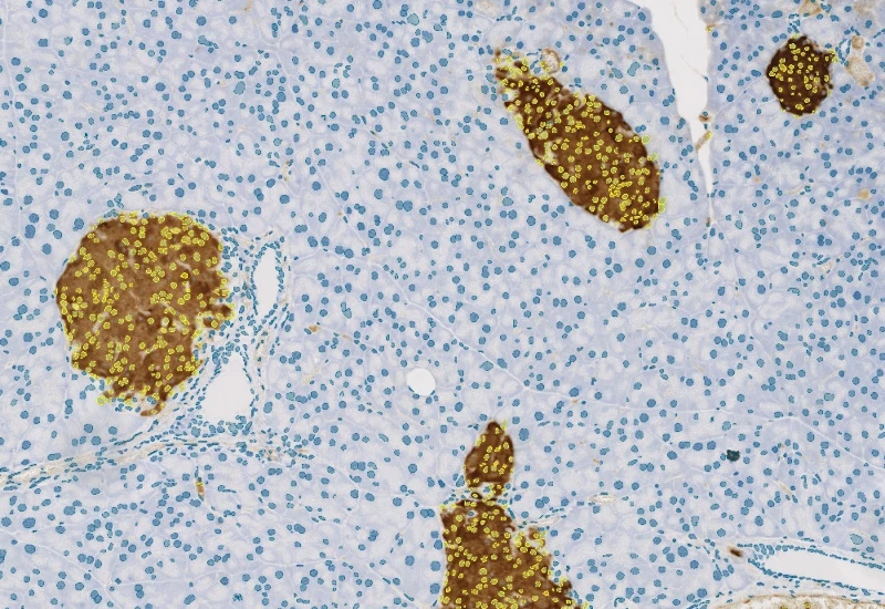
The IHC Insulin Islet App detects marker-stained insulin islets, tissue area, and cell phenotypes within and outside the islets. Outputs include tissue and islet area, cell counts, and phenotype distribution.
insulin islets, pancreas, beta-cells

The IHC Insulin Islet App allows for detection of marker stained insulin islets, the whole tissue, and cellular phenotypes stained by specific markers within the insulin islets and in the tissue. The App outputs, whole tissue area (µm2), number and area (µm2) of detected insulin islets. Number of cells and marker-specific phenotypes in the whole tissue as well as within the insulin islets.
Emmy Nye

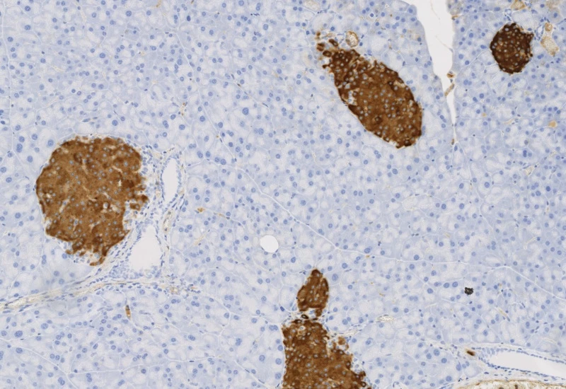
Original Image

Nuclei Detection

Insulin Islet Detection

Phenotype Detection

White Paper
17 Oct, 2025
Integrative Multiomics Approach Unveils Systemic Dysfunction in Colorectal Cancer (CRC)

Blog Post
17 May, 2023
An Intro to Deep Learning in Biomedical Imaging
We support the following file formats:
- TissueFAXS (aqproj)
- StrataFAXS II (vmic)
- PreciPoint (vmic, gtif)
- Generic BigTIFF Import
- Support for multipage BigTIFF files
- OME-TIFF
- JPEG, PNG, BMP, TIFF
- Zeiss (czi)
- Hamamatsu NanoZoomer (ndpi)
- Aperio (svs)
- Leica (scn)
- 3D HISTECH Pannoramic
- Mirax (mrxs)
- Olympus (vsi)
- More slide scanners to be added!
Related Apps

IF Granuloma
Detect granulomas using nuclear structure analysis and IF markers (e.g. CD11c, CD68), measure granuloma number, area, and density, and export up to 20 intensity, statistic, and morphometric parameters per cell compartment.
dentritic cells, macrophages, inflammation, granulomas, mouse, liver, fluorescence, microeinvironment, immune cells

IHC Membrane
Unmix up to three markers in IHC/HC slides, segment cells into nucleus, perinuclear area, cytoplasm, and membrane (e.g. HER2/neu), measure up to 20 intensity, statistic, and morphometric parameters per compartment plus membrane intensity and angle.
HER2, breast cancer, immunohistochemistry, automated scoring

Custom App development
Perfectly tailored image analysis solutions for your research.
You have a specific research question that needs to be answered? We offer custom development of image analysis pipelines for specific tasks, be it detection of cellular phenotypes or quantification of tissue structures. After discussing your goals with one of our experts, you will get a ready-to-use App and be a step closer to an impactful publication.

