Dynamic Content Image

IHC 2

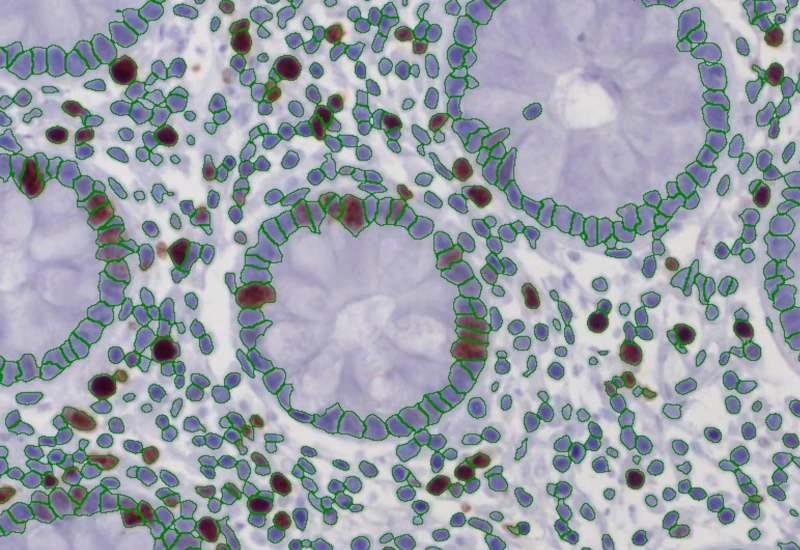
Separate two markers in IHC/HC slides, segment single cells into nucleus, perinuclear area, and/or cytoplasm, measure up to 20 intensity, statistic, and morphometric parameters per compartment.

single-cell analysis

cell culture

immunophenotyping

immunohistochemistry, phenotypes, biomarker, brightfield

Dynamic Content Image

The IHC 2 App separates two markers (e.g. chromogen and counterstain) in an IHC or HC digital slide and segments single cells into nucleus, and/or perinuclear area and/or cytoplasm. Each segmented cell compartment is measured for up to 20 intensity, statistic and morphometric parameters which are displayed in scattergrams and histograms and can be exported.

Dynamic Content Image

Original image

Dynamic Content Image

Nuclei detection

Dynamic Content Image

Phenotype detection

immunophenotyping

Dynamic Content Image

Webinar

20 Jan, 2026

Decoding Metastatic Potential in Colorectal Cancer Using Tissue Cytometry

cell culture

Dynamic Content Image

Webinar

19 Nov, 2024

Quantification of p-H2AX Foci in Co-cultured Cells Exposed to Radiation, Livia Sima

single-cell analysis

Dynamic Content Image

White Paper

30 Mar, 2026

Understanding NeuroCOVID-19: SARS-CoV-2 Disrupts Astrocyte Homeostatic Functions

We support the following file formats:

  • TissueFAXS (aqproj)
  • StrataFAXS II (vmic)
  • PreciPoint (vmic, gtif)
  • Generic BigTIFF Import
  • Support for multipage BigTIFF files
  • OME-TIFF
  • JPEG, PNG, BMP, TIFF
  • Zeiss (czi)

  • Hamamatsu NanoZoomer (ndpi)
  • Aperio (svs)
  • Leica (scn)
  • 3D HISTECH Pannoramic
  • Mirax (mrxs)
  • Olympus (vsi)
  • More slide scanners to be added!

Related Apps

Dynamic Content Image

IHC Adipocyte

The IHC Adipocyte App quantifies adipocytes and their lumina in HE samples, correcting membrane artifacts and providing area measurements.

single-cell analysis

adipocytes, fat tissue, fat cells, H&E

Dynamic Content Image

IHC 3

Unmix three markers in IHC/HC slides, segment single cells into nucleus, perinuclear area, and/or cytoplasm, measure up to 20 intensity, statistic, and morphometric parameters per compartment.

single-cell analysis

tumor microenvironment

cell culture

immunophenotyping

immunohistochemistry, brightfield

Dynamic Content Image

IHC Angio

Detect blood vessels based on appropriate stains (e.g. CD31), measure vessel and lumen areas, and export vessel number, density, and areas of vessels, endothelium, and lumina.

metastructures

tumor microenvironment

vascularization

blood vessels, tumor vascularization, tumor microenvironment, brightfield

Image

Custom App development

Perfectly tailored image analysis solutions for your research.

You have a specific research question that needs to be answered? We offer custom development of image analysis pipelines for specific tasks, be it detection of cellular phenotypes or quantification of tissue structures. After discussing your goals with one of our experts, you will get a ready-to-use App and be a step closer to an impactful publication.

LogoOrangewhite2025

TissueGnostics GmbH
Taborstraße 10/2/8
1020 Vienna, Austria
+43 1 216 11 90
This email address is being protected from spambots. You need JavaScript enabled to view it.

Contact us

About Us

TissueGnostics provides advanced solutions for whole-slide imaging and image analysis in biological and clinical research. Our products help researchers to scan and analyze complex tissue samples, enabling more detailed insights into tissue structure, cellular interactions, and spatial cell landscape.

Keep in Touch

Be the first to hear about the latest scientific updates.

We use cookies

We use cookies on our website. Some of them are essential for the operation of the site, while others help us to improve this site and the user experience (tracking cookies).
You can decide for yourself whether you want to allow cookies or not. Please note that if you reject them, you may not be able to use all the functionalities of the site.