Dynamic Content Image

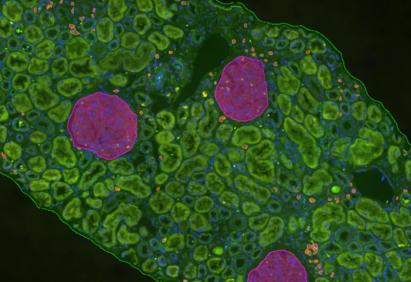
IF Glomeruli

Detect tissue, cells, and marker-stained glomeruli, segment cells into nucleus and/or cytoplasm, define phenotypes of IF-stained populations, classify cells inside or at defined distances from glomeruli.

metastructures

single-cell analysis

spatial analysis

immunophenotyping

glomeruli, kidney, renal research, fluorescence

Dynamic Content Image

The IF Glomeruli App provides the detection of tissue, cells and of glomeruli (stained by a specific marker). It segments the cells into nucleus, and/or cytoplasm and determines the cellular phenotype of specific IF stained cell populations. The detected cells can be classified as being either inside the glomeruli or outside in certain distances (distance ranges can be defined) of the glomeruli. For each cell the spatial information as well as up to 20 intensity, statistics and morphometric parameters are measured. The data can be displayed in diagrams and exported.

Dynamic Content Image

Original image

Dynamic Content Image

Glomeruli detection

Dynamic Content Image

Tissue/glomeruli/phenotype detection

Dynamic Content Image

Proximity measurements

immunophenotyping

Dynamic Content Image

Webinar

20 Jan, 2026

Decoding Metastatic Potential in Colorectal Cancer Using Tissue Cytometry

spatial analysis

Dynamic Content Image

Customer Publication

11 Mar, 2026

Spatial Multi-Omics Identifies NAD-Driven Niche in Early Gastric Cancer

single-cell analysis

Dynamic Content Image

White Paper

30 Mar, 2026

Understanding NeuroCOVID-19: SARS-CoV-2 Disrupts Astrocyte Homeostatic Functions

metastructures

Dynamic Content Image

Blog Post

17 May, 2023

An Intro to Deep Learning in Biomedical Imaging

We support the following file formats:

  • TissueFAXS (aqproj)
  • StrataFAXS II (vmic)
  • PreciPoint (vmic, gtif)
  • Generic BigTIFF Import
  • Support for multipage BigTIFF files
  • OME-TIFF
  • JPEG, PNG, BMP, TIFF
  • Zeiss (czi)

  • Hamamatsu NanoZoomer (ndpi)
  • Aperio (svs)
  • Leica (scn)
  • 3D HISTECH Pannoramic
  • Mirax (mrxs)
  • Olympus (vsi)
  • More slide scanners to be added!

Related Apps

Dynamic Content Image

IF Brain App

Classify brain regions using an AI-based classifier and detect cellular phenotypes (e.g., astrocytes) based on markers, quantify tissue areas, total cells, and phenotype counts across regions.

metastructures

single-cell analysis

neuroscience

brain, mouse, astrocytes, machine learning

Dynamic Content Image

IF Cellular microenvironment

Determine phenotypes of specific IF-stained cell populations, analyze spatial relationships to neighboring cells and metastructures (e.g. vessels, tumors), and perform proximity and infiltration analyses.

metastructures

single-cell analysis

tumor microenvironment

multiplex IF

immunophenotyping

phenotyping, phenotype interactions, proximity map, spatial landscape, immune cells, tumor, colon cancer, TMA, Foxp3, CD4, CK, PD-1, T regulatory cells, fluorescence

Dynamic Content Image

IF Granuloma

Detect granulomas using nuclear structure analysis and IF markers (e.g. CD11c, CD68), measure granuloma number, area, and density, and export up to 20 intensity, statistic, and morphometric parameters per cell compartment.

metastructures

immunophenotyping

dentritic cells, macrophages, inflammation, granulomas, mouse, liver, fluorescence, microeinvironment, immune cells

Image

Custom App development

Perfectly tailored image analysis solutions for your research.

You have a specific research question that needs to be answered? We offer custom development of image analysis pipelines for specific tasks, be it detection of cellular phenotypes or quantification of tissue structures. After discussing your goals with one of our experts, you will get a ready-to-use App and be a step closer to an impactful publication.

LogoOrangewhite2025

TissueGnostics GmbH
Taborstraße 10/2/8
1020 Vienna, Austria
+43 1 216 11 90
This email address is being protected from spambots. You need JavaScript enabled to view it.

Contact us

About Us

TissueGnostics provides advanced solutions for whole-slide imaging and image analysis in biological and clinical research. Our products help researchers to scan and analyze complex tissue samples, enabling more detailed insights into tissue structure, cellular interactions, and spatial cell landscape.

Keep in Touch

Be the first to hear about the latest scientific updates.

We use cookies

We use cookies on our website. Some of them are essential for the operation of the site, while others help us to improve this site and the user experience (tracking cookies).
You can decide for yourself whether you want to allow cookies or not. Please note that if you reject them, you may not be able to use all the functionalities of the site.