Dynamic Content Image

IF Cellular microenvironment

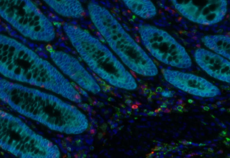
Determine phenotypes of specific IF-stained cell populations, analyze spatial relationships to neighboring cells and metastructures (e.g. vessels, tumors), and perform proximity and infiltration analyses.

metastructures

single-cell analysis

tumor microenvironment

multiplex IF

immunophenotyping

phenotyping, phenotype interactions, proximity map, spatial landscape, immune cells, tumor, colon cancer, TMA, Foxp3, CD4, CK, PD-1, T regulatory cells, fluorescence

Dynamic Content Image

The IF Cellular Microenviroment App allows to determine the cellular phenotype of specific IF stained cell populations and establishes their spatial relationship between each other, their neighbour cells/cell populations as well as the one with metastructures (e.g. blood vessels, tumors) in their vicinity. It is especially suited for proximity and infiltration analyses.

Dynamic Content Image

Original image

Dynamic Content Image

Nuclei segmentation

Dynamic Content Image

Epithelium detection

Dynamic Content Image

Phenotype detection

immunophenotyping

Dynamic Content Image

Webinar

20 Jan, 2026

Decoding Metastatic Potential in Colorectal Cancer Using Tissue Cytometry

multiplex IF

Dynamic Content Image

White Paper

17 Oct, 2025

Integrative Multiomics Approach Unveils Systemic Dysfunction in Colorectal Cancer (CRC)

tumor microenvironment

Dynamic Content Image

Blog Post

07 Apr, 2026

How immunofluorescence image analysis factors into NSCLC studies

single-cell analysis

Dynamic Content Image

White Paper

30 Mar, 2026

Understanding NeuroCOVID-19: SARS-CoV-2 Disrupts Astrocyte Homeostatic Functions

metastructures

Dynamic Content Image

Blog Post

17 May, 2023

An Intro to Deep Learning in Biomedical Imaging

We support the following file formats:

  • TissueFAXS (aqproj)
  • StrataFAXS II (vmic)
  • PreciPoint (vmic, gtif)
  • Generic BigTIFF Import
  • Support for multipage BigTIFF files
  • OME-TIFF
  • JPEG, PNG, BMP, TIFF
  • Zeiss (czi)

  • Hamamatsu NanoZoomer (ndpi)
  • Aperio (svs)
  • Leica (scn)
  • 3D HISTECH Pannoramic
  • Mirax (mrxs)
  • Olympus (vsi)
  • More slide scanners to be added!

Related Apps

Image

Custom App development

Perfectly tailored image analysis solutions for your research.

You have a specific research question that needs to be answered? We offer custom development of image analysis pipelines for specific tasks, be it detection of cellular phenotypes or quantification of tissue structures. After discussing your goals with one of our experts, you will get a ready-to-use App and be a step closer to an impactful publication.

LogoOrangewhite2025

TissueGnostics GmbH
Taborstraße 10/2/8
1020 Vienna, Austria
+43 1 216 11 90 This email address is being protected from spambots. You need JavaScript enabled to view it.

Contact us

About Us

TissueGnostics provides advanced solutions for whole-slide imaging and image analysis in biological and clinical research. Our products help researchers to scan and analyze complex tissue samples, enabling more detailed insights into tissue structure, cellular interactions, and spatial cell landscape.

Keep in Touch

Be the first to hear about the latest scientific updates.

We use cookies

We use cookies on our website. Some of them are essential for the operation of the site, while others help us to improve this site and the user experience (tracking cookies).
You can decide for yourself whether you want to allow cookies or not. Please note that if you reject them, you may not be able to use all the functionalities of the site.