
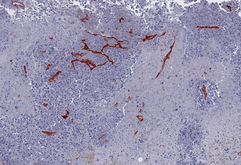
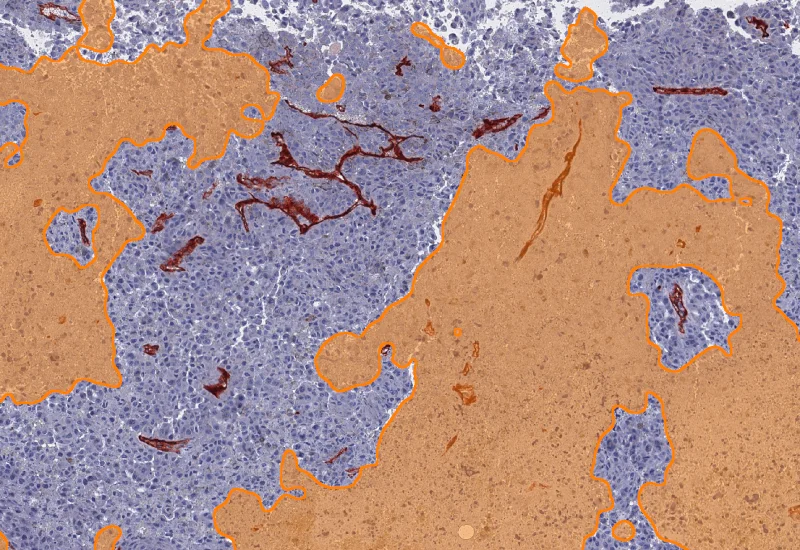
IHC Necrotic Tumor Angio
Segment tumor tissue into tumor, necrotic tissue, and blood vessels using an AI classifier, and quantify compartment areas, total vessel count, and vessel distribution across morphological entities.
metastructures
tumor microenvironment
vascularization
tumor immune microenvironment, tumor microenvironment, necrosis, blood vessles, vascularization, tumor

The IHC Necrotic Tumor Angio App is able to segment tumor tissues into tumor, necrotic tissue and blood vessels using the AI Classifier. It outputs area of tumor, necrotic tissue and blood vessels as well as the number and percentage of blood vessels in total and within the two morphological entities.

Original Image

Vessel detection

Necrotic tissue detection

Tumor detection

Combined detection
vascularization

Application Note
01 Jun, 2023
Evaluating the Distance of Tumor Cells from Blood Vessels
tumor microenvironment

Webinar
20 Jan, 2026
Decoding Metastatic Potential in Colorectal Cancer Using Tissue Cytometry
metastructures

Blog Post
17 May, 2023
An Intro to Deep Learning in Biomedical Imaging
We support the following file formats:
- TissueFAXS (aqproj)
- StrataFAXS II (vmic)
- PreciPoint (vmic, gtif)
- Generic BigTIFF Import
- Support for multipage BigTIFF files
- OME-TIFF
- JPEG, PNG, BMP, TIFF
- Zeiss (czi)
- Hamamatsu NanoZoomer (ndpi)
- Aperio (svs)
- Leica (scn)
- 3D HISTECH Pannoramic
- Mirax (mrxs)
- Olympus (vsi)
- More slide scanners to be added!
Related Apps

IF Tumor Foci Angio
Detect single nuclei and segment tissue into tumor foci and blood vessels, apply proximity mapping to quantify nuclei distances to vessels, and measure compartment areas and nuclei distribution.
tumor, tumor microenvironment, blood vessels, tumor foci, spatial analysis

IF Tumor Vascularization
Segment tissue into tumor and stroma/healthy areas, detect CD31+ vessels, and quantify vessel number, area, density, and connectivity with configurable wall closing and distance linking.
vasculatization, cancer, stroma, tumor, blood vessels, CD31, spatial analysis, tumor microenvironment

Custom App development
Perfectly tailored image analysis solutions for your research.
You have a specific research question that needs to be answered? We offer custom development of image analysis pipelines for specific tasks, be it detection of cellular phenotypes or quantification of tissue structures. After discussing your goals with one of our experts, you will get a ready-to-use App and be a step closer to an impactful publication.
