Dynamic Content Image

IHC Lung Cancer Mouse

Segment murine lung sections into tumor and non-cancerous tissue using a machine learning classifier, detect hematoxylin-stained nuclei, and quantify tumor area and marker-positive cellular phenotypes.

immunohistochemistry, lung cancer, tumor microenvironment, mouse, lung

Dynamic Content Image

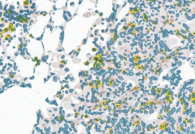
The IHC Lung Cancer mouse App is using the machine learning base classifier to segment murine lung cancer tissue sections into tumor and non-cancerous tissue. Further it detects nuclei based on hematoxylin staining and identifies cellular phenotypes based on speicifc markers. It outputs number and area of tumor tissue as well as total number of cells and detected cellular phenotypes.

Emma Nye, Head of Experimental Histopathology, The Francis Crick Institute, London, UK

Dynamic Content Image

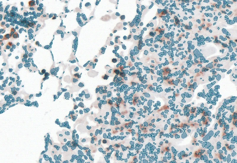
Original Image

Dynamic Content Image

Tumor and tissue detection

Dynamic Content Image

Nuclei detection

Dynamic Content Image

Phenotype detection

Dynamic Content Image

White Paper

17 Oct, 2025

Integrative Multiomics Approach Unveils Systemic Dysfunction in Colorectal Cancer (CRC)

Dynamic Content Image

White Paper

17 Oct, 2025

Integrative Multiomics Approach Unveils Systemic Dysfunction in Colorectal Cancer (CRC)

Dynamic Content Image

Blog Post

17 May, 2023

An Intro to Deep Learning in Biomedical Imaging

We support the following file formats:

  • TissueFAXS (aqproj)
  • StrataFAXS II (vmic)
  • PreciPoint (vmic, gtif)
  • Generic BigTIFF Import
  • Support for multipage BigTIFF files
  • OME-TIFF
  • JPEG, PNG, BMP, TIFF
  • Zeiss (czi)

  • Hamamatsu NanoZoomer (ndpi)
  • Aperio (svs)
  • Leica (scn)
  • 3D HISTECH Pannoramic
  • Mirax (mrxs)
  • Olympus (vsi)
  • More slide scanners to be added!

Related Apps

Dynamic Content Image

IF Cellular Contact

Determine cellular phenotypes in IF-stained samples, analyze direct cell–cell contacts, and quantify marker intensity, morphometric parameters, and number/% of contacting phenotypes.

single-cell analysis

tumor microenvironment

immunophenotyping

cell contacts, spatial interactions, phenotype interactions, B cells, T cells, lung, lymph node, COVID-19, SARS-Cov-2

Dynamic Content Image

IHC Angio

Detect blood vessels based on appropriate stains (e.g. CD31), measure vessel and lumen areas, and export vessel number, density, and areas of vessels, endothelium, and lumina.

metastructures

tumor microenvironment

vascularization

blood vessels, tumor vascularization, tumor microenvironment, brightfield

Dynamic Content Image

IF Tumor Foci Angio

Detect single nuclei and segment tissue into tumor foci and blood vessels, apply proximity mapping to quantify nuclei distances to vessels, and measure compartment areas and nuclei distribution.

metastructures

single-cell analysis

tumor microenvironment

vascularization

tumor, tumor microenvironment, blood vessels, tumor foci, spatial analysis

Image

Custom App development

Perfectly tailored image analysis solutions for your research.

You have a specific research question that needs to be answered? We offer custom development of image analysis pipelines for specific tasks, be it detection of cellular phenotypes or quantification of tissue structures. After discussing your goals with one of our experts, you will get a ready-to-use App and be a step closer to an impactful publication.

LogoOrangewhite2025

TissueGnostics GmbH
Taborstraße 10/2/8
1020 Vienna, Austria
+43 1 216 11 90
This email address is being protected from spambots. You need JavaScript enabled to view it.

Contact us

About Us

TissueGnostics provides advanced solutions for whole-slide imaging and image analysis in biological and clinical research. Our products help researchers to scan and analyze complex tissue samples, enabling more detailed insights into tissue structure, cellular interactions, and spatial cell landscape.

Keep in Touch

Be the first to hear about the latest scientific updates.

We use cookies

We use cookies on our website. Some of them are essential for the operation of the site, while others help us to improve this site and the user experience (tracking cookies).
You can decide for yourself whether you want to allow cookies or not. Please note that if you reject them, you may not be able to use all the functionalities of the site.