Dynamic Content Image

IF Leishmaniasis

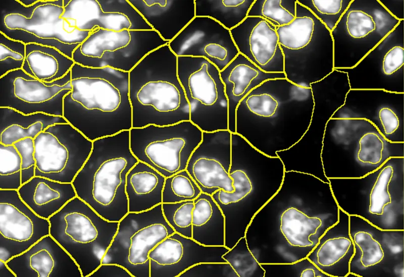
Detect intracellular Leishmania in host cells, segment parasites, quantify parasites per cell, distinguish live/dead (specifc assay), and export 20 intensity, statistic, and morphometric parameters per compartment plus parasite count, mean intensityand size.

intracellular analysis

single-cell analysis

cell culture

macrophages, parasites, leishmaniasis, cell culture, protozoan parasites, fluorescence

Dynamic Content Image

The IF Leishmaniasis APP detects intracellular Leishmania parasites and segments them in the detected host cells. The number of parasites per cell is determined and living and dead parasites can be distinguished (live/dead assays). The APP outputs the following data: 20 intensity, statistic and morphometric parameters for each segmented cell compartment per marker. Number, mean intensity, sum of intensity, and size of parasites. Image courtasy: Prof Uwe Ritter, Institute of Immunology, University of Regensburg, Germany

Schmid M, Dufner B, Dürk J, et al. An Emerging Approach for Parallel Quantification of Intracellular Protozoan Parasites and Host Cell Characterization Using TissueFAXS Cytometry. PLoS One. 2015;10(10):e0139866. Published 2015 Oct 21. doi:10.1371/journal.pone.0139866

Image courtesy of Prof. Dr. Uwe Ritter LIT - Leibniz-Institut für Immuntherapie, Regensburg, Germany

Dynamic Content Image

Original image

Dynamic Content Image

Nuclei detection

Dynamic Content Image

Cell mask

Dynamic Content Image

Parasite detection

cell culture

Dynamic Content Image

Webinar

19 Nov, 2024

Quantification of p-H2AX Foci in Co-cultured Cells Exposed to Radiation, Livia Sima

single-cell analysis

Dynamic Content Image

White Paper

30 Mar, 2026

Understanding NeuroCOVID-19: SARS-CoV-2 Disrupts Astrocyte Homeostatic Functions

intracellular analysis

Dynamic Content Image

Application Note

14 Oct, 2024

Quantitative Analysis of Cultured Cells

We support the following file formats:

  • TissueFAXS (aqproj)
  • StrataFAXS II (vmic)
  • PreciPoint (vmic, gtif)
  • Generic BigTIFF Import
  • Support for multipage BigTIFF files
  • OME-TIFF
  • JPEG, PNG, BMP, TIFF
  • Zeiss (czi)

  • Hamamatsu NanoZoomer (ndpi)
  • Aperio (svs)
  • Leica (scn)
  • 3D HISTECH Pannoramic
  • Mirax (mrxs)
  • Olympus (vsi)
  • More slide scanners to be added!

Related Apps

Dynamic Content Image

IF Cardio Cell Culture

Detect nuclei and identify cardiomyocytes in IF-stained cell cultures, reconstruct cytoplasmic masks, and quantify cardiomyocyte number, area, and marker intensity.

intracellular analysis

single-cell analysis

cell culture

cardiology, cardiomyocytes, cell culture, fibroblasts, troponin red

Dynamic Content Image

IF Cultured Cells & Substructures

Detect nuclei-based cells, quantify dot markers per cell, and measure cytoskeletal filament density and dot intensity at single-cell level.

intracellular analysis

single-cell analysis

cell culture

dot detection

FISH, cell culture, cytoskeleton, actin fibres

Dynamic Content Image

IF Cytoskeleton

Detect cytoskeletal structures by specific stain, identify cytoplasm with additional markers, and export filament count (inside, outside, membrane), filament length, and total filament area.

intracellular analysis

single-cell analysis

cell culture

actin, cytoskeleton, cortical fibres, microfilaments, stress fibres, cell culture, fluorescence

Image

Custom App development

Perfectly tailored image analysis solutions for your research.

You have a specific research question that needs to be answered? We offer custom development of image analysis pipelines for specific tasks, be it detection of cellular phenotypes or quantification of tissue structures. After discussing your goals with one of our experts, you will get a ready-to-use App and be a step closer to an impactful publication.

LogoOrangewhite2025

TissueGnostics GmbH
Taborstraße 10/2/8
1020 Vienna, Austria
+43 1 216 11 90
This email address is being protected from spambots. You need JavaScript enabled to view it.

Contact us

About Us

TissueGnostics provides advanced solutions for whole-slide imaging and image analysis in biological and clinical research. Our products help researchers to scan and analyze complex tissue samples, enabling more detailed insights into tissue structure, cellular interactions, and spatial cell landscape.

Keep in Touch

Be the first to hear about the latest scientific updates.

We use cookies

We use cookies on our website. Some of them are essential for the operation of the site, while others help us to improve this site and the user experience (tracking cookies).
You can decide for yourself whether you want to allow cookies or not. Please note that if you reject them, you may not be able to use all the functionalities of the site.