Dynamic Content Image

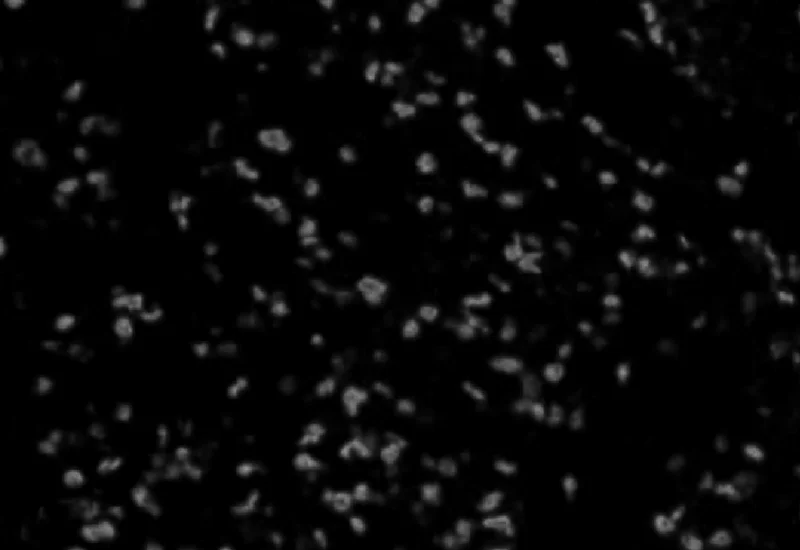
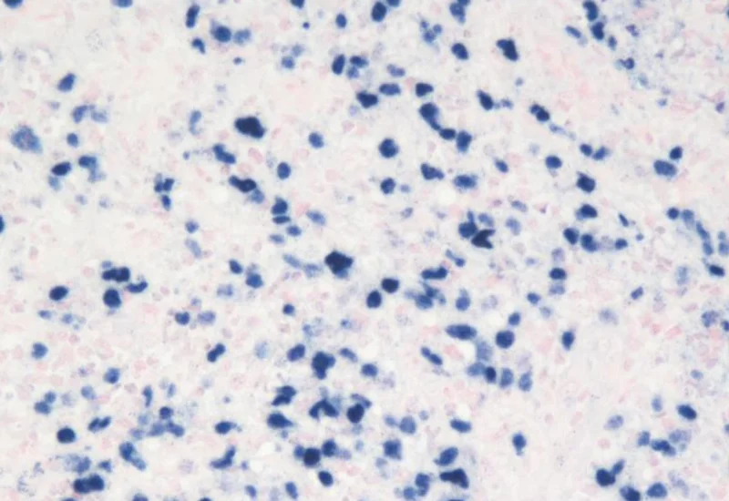
EBER-ISH

Detect nuclei and identify EBER-ISH–positive cells in EBV-stained tissue, and quantify total cell number, and number, density, and percentage of positive cells.

single-cell analysis

dot detection

EBER-ISH probes, Epstein-Barr virus (EBV), infection

Dynamic Content Image

The EBER-ISH APP is specifically designed to analyse tissue samples stained by EBER-ISH probes. These probes vizualize the Epstein-Barr virus (EBV) EBER RNA. The EBER-ISH App first identifies nuclei and next detects EBER-ISH positive nuclei. The measurements provided by the APP are number of detected cells as well as the number, density and % of EBER-ISH positive cells.

Dynamic Content Image

Original Image

Dynamic Content Image

Nuclei detection

Dynamic Content Image

EBER-ISH+ cells (pink)

Dynamic Content Image

Scatterplot

dot detection

Dynamic Content Image

Blog Post

15 Feb, 2023

Applications of AI in Cell Segmentation

single-cell analysis

Dynamic Content Image

White Paper

30 Mar, 2026

Understanding NeuroCOVID-19: SARS-CoV-2 Disrupts Astrocyte Homeostatic Functions

We support the following file formats:

  • TissueFAXS (aqproj)
  • StrataFAXS II (vmic)
  • PreciPoint (vmic, gtif)
  • Generic BigTIFF Import
  • Support for multipage BigTIFF files
  • OME-TIFF
  • JPEG, PNG, BMP, TIFF
  • Zeiss (czi)

  • Hamamatsu NanoZoomer (ndpi)
  • Aperio (svs)
  • Leica (scn)
  • 3D HISTECH Pannoramic
  • Mirax (mrxs)
  • Olympus (vsi)
  • More slide scanners to be added!

Related Apps

Dynamic Content Image

IF Dots

Detect dots-stainings per cell in up to four markers, segment cellular compartments, measure up to 20 intensity, statistic, and morphometric parameters, and quantify dot count, mean intensity, total area, intensity sum, and per-dot area/intensity per compartment.

intracellular analysis

single-cell analysis

cell culture

dot detection

cell culture, breast cancer, fluorescence, HER2

Dynamic Content Image

RNA Scope

Detect nuclei and single-marker dots (CISH/SISH), segment nucleus and/or cytoplasm, measure up to 20 intensity, statistic, and morphometric parameters, and quantify dot count, mean intensity, total area, intensity sum, and per-dot area/intensity per cell.

intracellular analysis

single-cell analysis

dot detection

RNAScope, brightfield, CISH, ISH

Dynamic Content Image

RNA Scope+

Detect nuclei and quantify two RNA scope dot markers per cell in nucleus and/or cytoplasm for CISH and SISH assays, measuring up to 20 morphometric and intensity parameters plus per-cell dot count, area, and intensity metrics.

metastructures

vascularization

CD31, blood vessels, diameter

Image

Custom App development

Perfectly tailored image analysis solutions for your research.

You have a specific research question that needs to be answered? We offer custom development of image analysis pipelines for specific tasks, be it detection of cellular phenotypes or quantification of tissue structures. After discussing your goals with one of our experts, you will get a ready-to-use App and be a step closer to an impactful publication.

LogoOrangewhite2025

TissueGnostics GmbH
Taborstraße 10/2/8
1020 Vienna, Austria
+43 1 216 11 90 This email address is being protected from spambots. You need JavaScript enabled to view it.

Contact us

About Us

TissueGnostics provides advanced solutions for whole-slide imaging and image analysis in biological and clinical research. Our products help researchers to scan and analyze complex tissue samples, enabling more detailed insights into tissue structure, cellular interactions, and spatial cell landscape.

Keep in Touch

Be the first to hear about the latest scientific updates.

We use cookies

We use cookies on our website. Some of them are essential for the operation of the site, while others help us to improve this site and the user experience (tracking cookies).
You can decide for yourself whether you want to allow cookies or not. Please note that if you reject them, you may not be able to use all the functionalities of the site.