Dynamic Content Image

Epigenetic Carcinogenesis: Quantitative Insights from HistoQuest Analysis

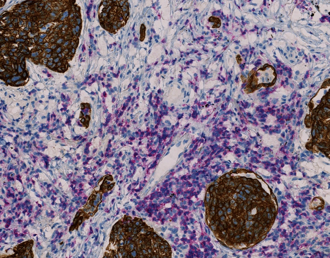
The evolving understanding of cancer biology underscores the pivotal role of epigenetic modifications - heritable yet reversible changes in gene expression that do not alter the DNA sequence.

White Paper

Dynamic Content Image

Epigenetic Carcinogenesis: Quantitative Insights from HistoQuest Analysis

01 May, 2025

LogoOrangewhite2025

TissueGnostics GmbH
Taborstraße 10/2/8
1020 Vienna, Austria
+43 1 216 11 90
This email address is being protected from spambots. You need JavaScript enabled to view it.

Contact us

About Us

TissueGnostics provides advanced solutions for whole-slide imaging and image analysis in biological and clinical research. Our products help researchers to scan and analyze complex tissue samples, enabling more detailed insights into tissue structure, cellular interactions, and spatial cell landscape.

 

Keep in Touch

Be the first to hear about the latest scientific updates



We use cookies

We use cookies on our website. Some of them are essential for the operation of the site, while others help us to improve this site and the user experience (tracking cookies).
You can decide for yourself whether you want to allow cookies or not. Please note that if you reject them, you may not be able to use all the functionalities of the site.