Dynamic Content Image

Exploring metabolic reprogramming via brightfield image analysis

Cells are inherently responsive, shaped by internal priorities and external stimuli. One of the most compelling expressions of this adaptability is metabolic reprogramming, a cellular strategy that involves shifting energy production and biosynthetic activity to support survival, repair, immune activation, or rapid proliferation.

Blog Post

Dynamic Content Image

Exploring metabolic reprogramming via brightfield image analysis

24 Oct, 2025

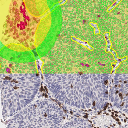
These metabolic shifts influence cellular structure, alter tissue organization, and leave morphological footprints that can be directly observed under a microscope. These changes are usually best visualized using various histological stains, such as hematoxylin and eosin (H&E) staining, or marker-specific, such as immunohistochemical (IHC) staining using specific antibodies.

When brightfield imaging is used in conjunction with the precision of image analysis, researchers can uncover both the form and function of metabolism changes in situ. This integration, defined as brightfield image analysis, reveals not just what metabolic changes are occurring, but exactly where and how they unfold within the native tissue environment.

Interpreting Metabolic Change Through Structural Cues

As cells adjust their energy pathways, they may grow in size, change shape, or express different markers. These morphological shifts often provide the earliest visual evidence of metabolic adaptation and can be captured with standard light microscopy.

Brightfield image analysis transfers these structural transformations in actual numbers. Image analysis of images acquired from IHC-stained tissues also enhances data reliability through quantifying subtle expression differences that might be overlooked.

Together, these methods offer a view of metabolism that connects physical form with underlying biochemical activity through image analysis.

Histological Stains as Metabolic Indicators

Histological stains offer a layered perspective on cellular metabolism, making invisible biochemical shifts visible within the structural fabric of tissues. Lipid accumulation, a hallmark of altered fatty acid metabolism, is revealed through stains like Oil Red O and Sudan Black. PAS staining exposes glycogen distribution, uncovering how cells store or mobilize glucose. Meanwhile, H&E staining provides broader context, revealing tissue-level disruptions like necrosis and inflammation that signal metabolic imbalance.

Brightfield image analysis captures the spatial distribution of these stains, mapping metabolic activity across tissue regions. This spatial understanding becomes more powerful with numerical data, which quantifies staining intensity, localization, and variability.

Illuminating Molecular Drivers of Metabolism

To fully characterize metabolic reprogramming, it's essential to move beyond morphology and directly observe the molecules at its core. IHC allows the visualization of enzymes and transporters including GLUT1, LDHA, CPT1A, and FASN. These markers play defining roles in metabolic pathways including glycolysis, lipogenesis, and fatty acid oxidation.

The combined analysis of IHC data and structural context allows researchers to assess expression levels within distinct tissue regions and compare metabolic profiles across experimental conditions.

Making Metabolism Measurable with TissueGnostics

Understanding metabolic reprogramming requires tools that illuminate the visible and quantify the invisible. Brightfield image analysis transforms ordinary tissue sections into dynamic metabolic maps. This dual capability enables researchers to uncover how metabolic pathways manifest structurally within biological tissues and how they can be quantified in spatial context.

TissueGnostics supports this integrated approach with platforms like the TissueFAXS PLUS. This system delivers high-resolution brightfield and fluorescence whole-slide-imaging for tissue sections on slides, smears, cytospins, and tissue microarrays. Paired with software such as StrataQuest, it enables automated image analysis and supports everything from focused tissue exploration to high-throughput metabolic screening.

As imaging and analysis converge, metabolism becomes a clearly defined spatial and functional element of tissue biology, offering clarity and momentum for scientific discovery.

LogoOrangewhite2025

TissueGnostics GmbH
Taborstraße 10/2/8
1020 Vienna, Austria
+43 1 216 11 90
This email address is being protected from spambots. You need JavaScript enabled to view it.

Contact us

About Us

TissueGnostics provides advanced solutions for whole-slide imaging and image analysis in biological and clinical research. Our products help researchers to scan and analyze complex tissue samples, enabling more detailed insights into tissue structure, cellular interactions, and spatial cell landscape.

 

Keep in Touch

Be the first to hear about the latest scientific updates



We use cookies

We use cookies on our website. Some of them are essential for the operation of the site, while others help us to improve this site and the user experience (tracking cookies).
You can decide for yourself whether you want to allow cookies or not. Please note that if you reject them, you may not be able to use all the functionalities of the site.