Dynamic Content Image

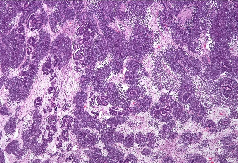
Wilms Tumor

AI-based segmentation of H&E-stained Wilms tumor sections into tumor, stroma, and blood vessels with quantitative area measurements.

metastructures

tumor microenvironment

vascularization

H&E

wilms tumor, H&E, nephroblastoma, kidney, renal cancer

Dynamic Content Image

The Wilms Tumor App is based on the AI Classifier and allows the segmentation of H&E stained Willms tumor tissues into tumor, stroma, blood vessels. It outputs the area (µm2) of the segmented tissue entities.

Dynamic Content Image

Original Image

Dynamic Content Image

Vessel detection

Dynamic Content Image

Stroma detection

Dynamic Content Image

Tumor detection

Dynamic Content Image

Tumor/Stroma/Vessel detection

H&E

vascularization

Dynamic Content Image

Application Note

01 Jun, 2023

Evaluating the Distance of Tumor Cells from Blood Vessels

tumor microenvironment

Dynamic Content Image

Webinar

20 Jan, 2026

Decoding Metastatic Potential in Colorectal Cancer Using Tissue Cytometry

metastructures

Dynamic Content Image

Blog Post

17 May, 2023

An Intro to Deep Learning in Biomedical Imaging

We support the following file formats:

  • TissueFAXS (aqproj)
  • StrataFAXS II (vmic)
  • PreciPoint (vmic, gtif)
  • Generic BigTIFF Import
  • Support for multipage BigTIFF files
  • OME-TIFF
  • JPEG, PNG, BMP, TIFF
  • Zeiss (czi)

  • Hamamatsu NanoZoomer (ndpi)
  • Aperio (svs)
  • Leica (scn)
  • 3D HISTECH Pannoramic
  • Mirax (mrxs)
  • Olympus (vsi)
  • More slide scanners to be added!

Related Apps

Dynamic Content Image

Endometrium Morphology

Segment H&E-stained endometrium into glands, stroma, and blood vessels, and quantify the area of each morphological entity.

metastructures

tumor microenvironment

vascularization

H&E

endometrium, endometriosis, H&E, glands, blood vessels, stroma, gynecology

Dynamic Content Image

Tumor Foci

Detect whole tissue and tumor foci based on using nuclear structure analysis, measure number of tumor foci, area, and cellular density.

metastructures

tumor microenvironment

H&E

H&E, cancer tissue, TMA

Dynamic Content Image

IHC Tumor Vascularization

Segment tissue into tumor and healthy/stromal regions, detect blood vessels (e.g., CD31), and quantify vessel number, area, density, and connectivity within each compartment.

metastructures

tumor microenvironment

vascularization

blood vessels, tumor vascularization, tumor microenvironment, CD31, pancreas

Image

Custom App development

Perfectly tailored image analysis solutions for your research.

You have a specific research question that needs to be answered? We offer custom development of image analysis pipelines for specific tasks, be it detection of cellular phenotypes or quantification of tissue structures. After discussing your goals with one of our experts, you will get a ready-to-use App and be a step closer to an impactful publication.

LogoOrangewhite2025

TissueGnostics GmbH
Taborstraße 10/2/8
1020 Vienna, Austria
+43 1 216 11 90
This email address is being protected from spambots. You need JavaScript enabled to view it.

Contact us

About Us

TissueGnostics provides advanced solutions for whole-slide imaging and image analysis in biological and clinical research. Our products help researchers to scan and analyze complex tissue samples, enabling more detailed insights into tissue structure, cellular interactions, and spatial cell landscape.

Keep in Touch

Be the first to hear about the latest scientific updates.

We use cookies

We use cookies on our website. Some of them are essential for the operation of the site, while others help us to improve this site and the user experience (tracking cookies).
You can decide for yourself whether you want to allow cookies or not. Please note that if you reject them, you may not be able to use all the functionalities of the site.