Dynamic Content Image

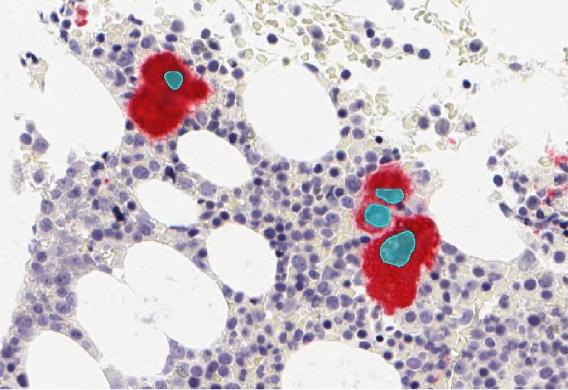
IHC Megakaryocytes

Detect megakaryocytes in IHC-stained sections, reconstruct full cell area, and quantify cell size, number of megakaryocytes containing neutrophils, and neutrophil count per megakaryocyte.

bone tissue, bone marrow, megakaryocytes, immunohistochemistry

Dynamic Content Image

The IHC Megakaryocytes App allows for detection of megakaryocytes based on specific marker staining. It outputs number and size of detected megakaryocytes as well as the number of megakaryocytes that contain neutrophils inside their cytoplasm and the number of neutrophils inside each megakaryocyte.

Prof Wendy Erber and A/Prof Kathy Fuller, The University of Western Australia

Dynamic Content Image

Original Image

Dynamic Content Image

Nuclei detection

Dynamic Content Image

Megakaryocyte identification

Dynamic Content Image

White Paper

17 Jul, 2024

Algorithmic automation of bone research with StrataQuest

Dynamic Content Image

White Paper

17 Oct, 2025

Integrative Multiomics Approach Unveils Systemic Dysfunction in Colorectal Cancer (CRC)

We support the following file formats:

  • TissueFAXS (aqproj)
  • StrataFAXS II (vmic)
  • PreciPoint (vmic, gtif)
  • Generic BigTIFF Import
  • Support for multipage BigTIFF files
  • OME-TIFF
  • JPEG, PNG, BMP, TIFF
  • Zeiss (czi)

  • Hamamatsu NanoZoomer (ndpi)
  • Aperio (svs)
  • Leica (scn)
  • 3D HISTECH Pannoramic
  • Mirax (mrxs)
  • Olympus (vsi)
  • More slide scanners to be added!

Related Apps

Dynamic Content Image

Bone Goldner

Detect mineralized bone and osteoid in Goldner-stained sections and measure BV, TV, OV, OV/BV, OV/TV, OS, BS, mean osteoid width, and mean osteoid thickness.

metastructures

bone research

goldner staining, mineralized bone, osteoid, BV, TV, OV, OS, BS, brightfield

Dynamic Content Image

Bone Mineralization

Separate Safranin O–stained bone into cartilage, mineralized cartilage, bone marrow, and mineralized bone, and measure TV, BV, MCV, CV, and BM.

metastructures

bone research

Safranin O, bone mineralization, bone marrow, cartilage, TV, BV, MCV, CV, BM, brightfield

Dynamic Content Image

Bone von kossa

Detect mineralized bone in von Kossa–stained sections and measure TV, BV, BS, BV/TV, BS/BV, Tb.N, Tb.Th, and Tb.Sp.

metastructures

bone research

mineralized bone, bone research, von kossa, osteoporosis, brightfield

Image

Custom App development

Perfectly tailored image analysis solutions for your research.

You have a specific research question that needs to be answered? We offer custom development of image analysis pipelines for specific tasks, be it detection of cellular phenotypes or quantification of tissue structures. After discussing your goals with one of our experts, you will get a ready-to-use App and be a step closer to an impactful publication.

LogoOrangewhite2025

TissueGnostics GmbH
Taborstraße 10/2/8
1020 Vienna, Austria
+43 1 216 11 90
This email address is being protected from spambots. You need JavaScript enabled to view it.

Contact us

About Us

TissueGnostics provides advanced solutions for whole-slide imaging and image analysis in biological and clinical research. Our products help researchers to scan and analyze complex tissue samples, enabling more detailed insights into tissue structure, cellular interactions, and spatial cell landscape.

Keep in Touch

Be the first to hear about the latest scientific updates.

We use cookies

We use cookies on our website. Some of them are essential for the operation of the site, while others help us to improve this site and the user experience (tracking cookies).
You can decide for yourself whether you want to allow cookies or not. Please note that if you reject them, you may not be able to use all the functionalities of the site.