Dynamic Content Image

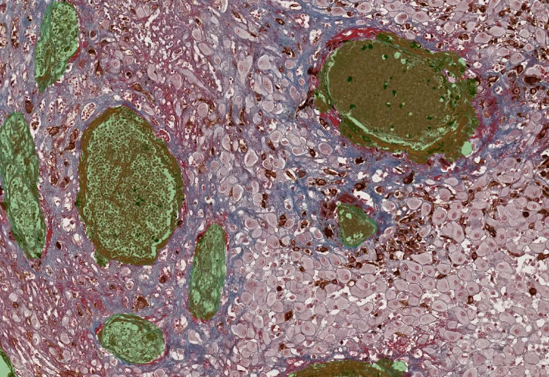
IHC Angio Trichome

Detect trichome-stained vessels, quantify vessel, lumen, and endothelium areas, measure wall thickness and density, and analyze spatial proximity of IHC-stained cells to vessels.

metastructures

vascularization

trichome staining, blood vessels, collagen, muscle fibres, spatial interactions

Dynamic Content Image

The IHC Angio Trichome App detects blood vessels based on trichome staining and measures overall vessel area as well as lumen area. Furhtermore it detects specifically IHC stained single cell populations and establishes their spatial relationship between to the detected blood vessels. The APP outputs number and vessel density, vessel wall thickness as well as areas of vessels, endothelium and lumina, number of IHC stained cells, proximity measurement etc.

Image courtesy of Sandra Ashton, City St George's, University of London, UK

Dynamic Content Image

Original Image

Dynamic Content Image

Vessel detection

Dynamic Content Image

Marker positive cell detection

Dynamic Content Image

Combined detection

vascularization

Dynamic Content Image

Application Note

01 Jun, 2023

Evaluating the Distance of Tumor Cells from Blood Vessels

metastructures

Dynamic Content Image

Blog Post

17 May, 2023

An Intro to Deep Learning in Biomedical Imaging

We support the following file formats:

  • TissueFAXS (aqproj)
  • StrataFAXS II (vmic)
  • PreciPoint (vmic, gtif)
  • Generic BigTIFF Import
  • Support for multipage BigTIFF files
  • OME-TIFF
  • JPEG, PNG, BMP, TIFF
  • Zeiss (czi)

  • Hamamatsu NanoZoomer (ndpi)
  • Aperio (svs)
  • Leica (scn)
  • 3D HISTECH Pannoramic
  • Mirax (mrxs)
  • Olympus (vsi)
  • More slide scanners to be added!

Related Apps

Dynamic Content Image

IHC Angio Elastin

Detect blood vessels in Verhoeff–Van Gieson–stained sections and quantify vessel number and area, as well as elastin and collagen area and intensity within user-defined perivascular rings.

metastructures

vascularization

blood vessels, elastine, collagen, muscle fibres, spatial interactions, Verhoeff van Geison staining

Dynamic Content Image

Sirius Red Angio

Detect Sirius Red–stained collagen and blood vessels, and quantify collagen area and total vessel count within the analyzed tissue.

metastructures

vascularization

sirius red, collagen, blood vessel, vascularization, liver

Dynamic Content Image

IHC Tumor Vascularization

Segment tissue into tumor and healthy/stromal regions, detect blood vessels (e.g., CD31), and quantify vessel number, area, density, and connectivity within each compartment.

metastructures

tumor microenvironment

vascularization

blood vessels, tumor vascularization, tumor microenvironment, CD31, pancreas

Image

Custom App development

Perfectly tailored image analysis solutions for your research.

You have a specific research question that needs to be answered? We offer custom development of image analysis pipelines for specific tasks, be it detection of cellular phenotypes or quantification of tissue structures. After discussing your goals with one of our experts, you will get a ready-to-use App and be a step closer to an impactful publication.

LogoOrangewhite2025

TissueGnostics GmbH
Taborstraße 10/2/8
1020 Vienna, Austria
+43 1 216 11 90 This email address is being protected from spambots. You need JavaScript enabled to view it.

Contact us

About Us

TissueGnostics provides advanced solutions for whole-slide imaging and image analysis in biological and clinical research. Our products help researchers to scan and analyze complex tissue samples, enabling more detailed insights into tissue structure, cellular interactions, and spatial cell landscape.

Keep in Touch

Be the first to hear about the latest scientific updates.

We use cookies

We use cookies on our website. Some of them are essential for the operation of the site, while others help us to improve this site and the user experience (tracking cookies).
You can decide for yourself whether you want to allow cookies or not. Please note that if you reject them, you may not be able to use all the functionalities of the site.