|
 |
Tumor Microenvironment Characterization of Rectal Cancer
Song et al. published a case study investigating the genetics and tumor microenvironment of a rectal cancer patient with MSS/PD-L1-negative recurrent hepatopulmonary metastasis. TissueFAXS and StrataQuest were used to image stained tissue samples and to assess tumor infiltrating immune cells using, among others, CD4, CD8, CD163, PD1, and PD-L1 as markers.
|
 |
Webinar: Immune Checkpoints as Potential Targets in Cutaneous Leishmaniasis
In this TG Academy webinar, Dr. Nidhi S. Dey, University of York, presents her exciting new work on the “Spatial analysis of IDO1 and PDL1 checkpoints in cutaneous leishmaniasis”. The shown study focuses on uncovering potential targets, also known as immune checkpoints, for the treatment strategy of the major neglected parasitic disease, leishmaniasis.
|
 |
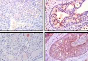
Promising New Treatment Option for Metastatic Prostate Cancer
In a recent study, Pencik et al. investigated STAT3 as a potential target for the treatment of lethal metastatic prostate cancer (mPCa). The study shows that STAT3 is involved in the suppression of the mTORC1/CREB pathway and thereby prevents the development of mPCa. The expression of STAT3 and other markers were assessed in-situ using tissue cytometry solutions.
|
 |
New EU-Project: Stop Spread Bad Bugs (SSBB)
Funded by the Marie Skłodowska-Curie Actions program, the SSBB project is a research training consortium that will train 15 early stage researchers in drug development, infectiology, immunology, and pharmacology. TG acts as an industry partner in order to facilitate preclinical tests and track the bacteria and antibiotics in the test systems.
|
 |
Evaluating Precision Medicine in Advanced Prostate Cancer
Dr. Rupert Ecker, CEO of TissueGnostics and Adjunct Professor at the Queensland University of Technology in Brisbane, was involved in a review article about “Genomic and Phenotypic Biomarkers for Precision Medicine Guidance in Advanced Prostate Cancer”. State-of-the-art strategies for diagnosis, prognosis, and treatment prediction are addressed.
|
|
|