|
 |
20 Years of TissueGnostics
This year TissueGnostics is celebrating its 20-year anniversary. In order to celebrate this achievement, we have put together an article highlighting TG´s most important yearly milestones. These accomplishments wouldn’t have been possible without the support of our wider TG community. For this reason, we have some exciting announcements up-and-coming.
|
 |
Characterization of the Spatial Immune Context of Lung Cancer
In a recent study, Imamura et al. investigated the role of debrin-expressing tumor infiltration lymphocytes (TIL) in lung cancer. The high-end image analysis solution, StrataQuest, was used for the automatic tissue classification and localization of CD3+/debrin+ cellular phenotypes in the tumor cell nest, as well as in the stroma.
|
 |
The Effect of Stem Cell Transplantation on Skin Microorganisms
Nadine Bayer, PhD, Medical University of Vienna, presents her paper “Disturbances in microbial skin recolonization and cutaneous immune response following allogeneic stem cell transfer”, which was recently published in the high-impact journal Leukemia, Nature.
|
 |
Case Study: Analysis of FISH Using Tissue Cytometry
In the following case study, the streamlined analysis solution IF Dots App (StrataQuest) was used for the analysis of a sample processed by fluorescence in-situ hybridization (FISH). The aim was to detect the individual nuclei and further to identify the number of dots per cell as well as total number of dots.
|
 |
High-Speed Multispectral Imaging with TissueFAXS CHROMA
TissueFAXS CHROMA specializes in multispectral fluorescence whole-slide imaging for up to 7 markers at a time by using an optimized set of SpectraSplit filters. This cost-effective high-speed slide scanner reaches its full potential when combined with TG’s single-cell and contextual image analysis solutions for in-depth spatial phenotyping.
|
 |
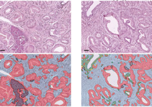
COL8A1 Promotes Tumor in Pancreatic Ductal Adenocarcinoma
Yan et al. investigated several collagen subtypes involved in pancreatic ductal adenocarcinoma desmoplasia. Based on this study, COL8A1 was suggested as a new marker for predicting poor chemotherapy responsiveness and survival. The TissueFAXS imaging platform and StrataQuest analysis solution were used to image and segment morphological structures.
|
|
|