Tissuegnostics Precision that inspires
image cytometry software for free

TISSUEGNOSTICS JOINS THE GLOBAL FIGHT
AGAINST COVID-19

Through a Global Alliance Against Pandemic Virus Threats campaign, TissueGnostics is committed to support the mankind and our research community during this difficult times!

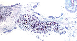
virtual TMA Cores

SPATIAL TUMOR HETEROGENEITY & PREDICTION

In a current publication in Cancers an international research group from Austria, Czech Republic and UK describes the impact of immunomodulation on survival of rectal cancer patients by using “Virtual TMAs”

journal genes

CALL FOR PAPERS

The CEO of TissueGnostics is privileged to edit a Special Issue of the journal genes.
Submissions are now open until 30.09.2020.

single cell analysis

7th GENERATION OF IMAGE CYTOMETRY SOFTWARE

TissueGnostics has launched its 7th generation of image cytometry software for single cell analysis and contextual tissue cytometry!

Precision that inspires. Explore the fundamental unit of life

www.tissuegnostics.com

TissueGnostics GmbH | Taborstraße 10/2/8 | A-1020 Vienna | Phone: +43 1 216 11 90 | e-mail: office@tissuegnostics.com

Unsubscribe